Skip to content
(+48) 604 445 669
kontakt@stomatologia-mulawa.pl
ul. Zygmunta Słomińskiego 7/U7, 00-195 Warszawa
Facebook
Instagram
O nas
Zespół
Usługi
LECZENIE ZACHOWAWCZE
PERIODONTOLOGIA
PROTETYKA
IMPLANTOLOGIA
ENDODOCJA
ORTODONCJA
PROFILAKTYKA JAMY USTNEJ
BIOSTYMULACJA LASEROWA
Galeria
Cennik
Prawa Pacjenta
Regulamin
Metamorfozy
Kontakt
Menu
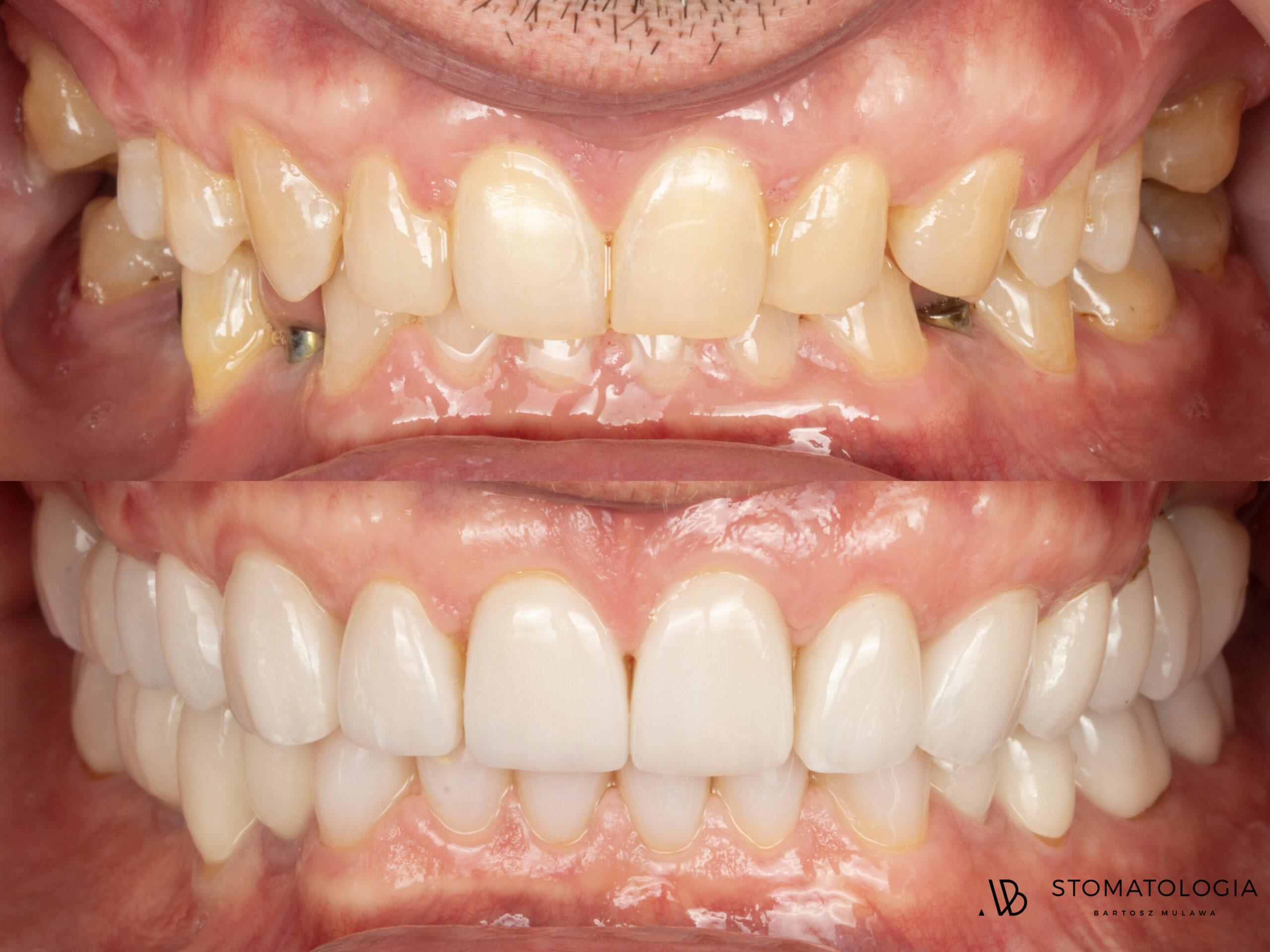
Po
Przed
Przeciągnij
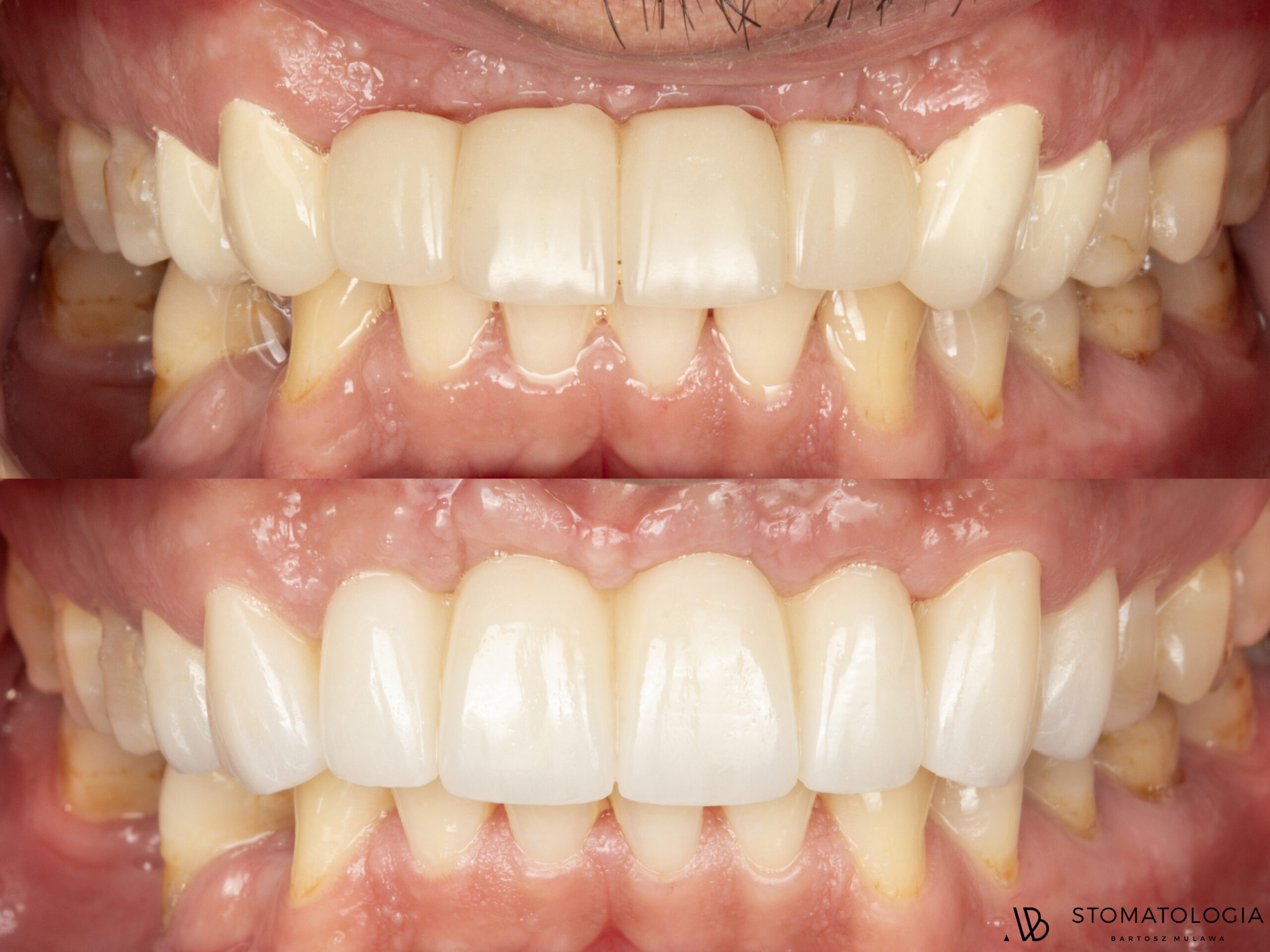
Po
Przed
Przeciągnij
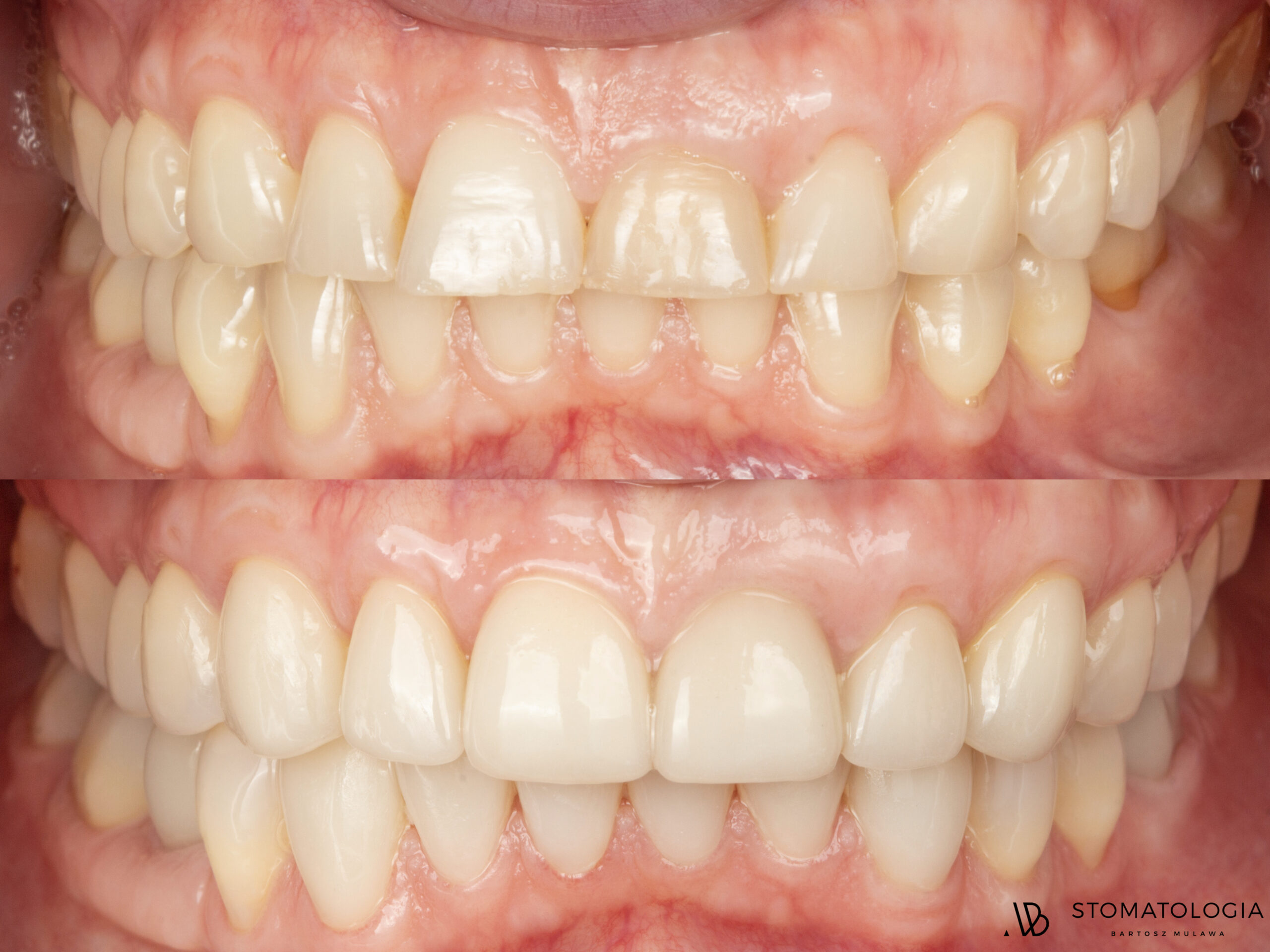
Po
Przed
Przeciągnij
Po
Przed
Przeciągnij
Po
Przed
Przeciągnij
Po
Przed
Przeciągnij
Po
Przed
Przeciągnij
Po
Przed
Przeciągnij